Dental Care

Services

Dental Care

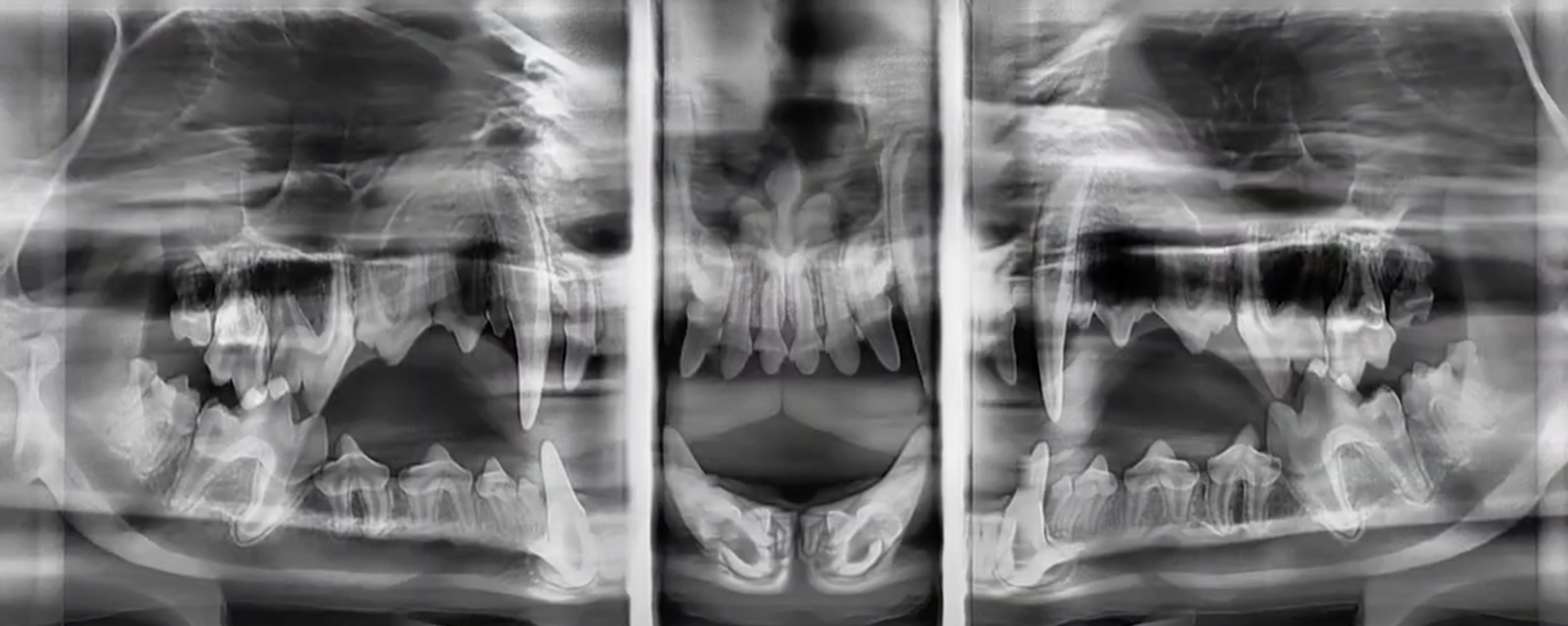
We are proud to offer advanced dental services, including state-of-the-art veterinary panoramic dental radiography. Dental radiographs are essential for assessing the health of every tooth and its surrounding structures, allowing us to detect periodontal disease that may not be visible during a standard oral exam.

Periodontal disease is common in pets and, when moderate to severe, can lead to oral discomfort and bone loss at the tooth root. During dental cleanings or advanced oral procedures, we combine thorough oral exams, periodontal probing, and dental radiographs to determine which teeth require deep cleaning and which may need extraction.

All dental procedures are performed under anesthesia, and when extractions are necessary, we use local nerve blocks to minimize pain during recovery. By providing human-quality dental care, we aim to relieve oral discomfort, reduce chronic inflammation, improve overall health, and enhance your pet’s quality of life—so those kisses are always happy and healthy.